
En radiología, la excelencia no se mide solo por la calidad diagnóstica. Hoy, la verdadera diferencia está en la experiencia de cómo se[…]

La radiología lleva años en transformación, pero 2026 no será un año más: será el momento en que la tecnología deje de ser[…]

Inteligencia artificial en la detección temprana del cáncer de pulmón: avances y aplicaciones clínicas El desafío global del cáncer de pulmón El cáncer[…]

El “cliente oculto” de muchos centros Cuando pensamos en la gestión de un centro de salud o de un servicio de radiología, solemos[…]

La Evolución Post-Digital: ¿Qué busca ahora tu departamento de radiología? La digitalización en radiología ya no es el futuro; es el presente. Hoy[…]

La radiología siempre ha sido un pilar del diagnóstico médico. Pero hoy, más que nunca, se encuentra en una etapa de transformación: tecnológica,[…]

En un mundo donde todo se resuelve desde dispositivos digitales, los pacientes esperan lo mismo de su experiencia médica. La transformación digital en[…]

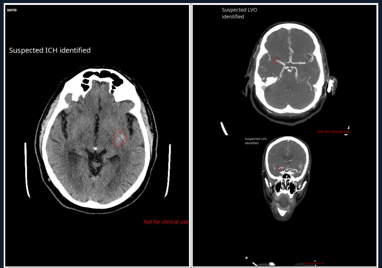
En los últimos años, la inteligencia artificial (IA) ha dejado de ser una promesa futura para convertirse en una herramienta fundamental en los[…]

En el diagnóstico por imágen, el tiempo, la precisión y la eficiencia no son opcionales: son críticos. Sin embargo, muchos centros de salud[…]

Muchos centros de salud pequeños o medianos creen que implementar un sistema PACS (Picture Archiving and Communication System) es una inversión reservada únicamente[…]
© 2026 Debrain Healthcare. Reservado todos los derechos.